Dr. 阮柏升醫師
尖端設備
一日完成|數位植牙
4D導航植牙
PRF植牙
人工植牙
舒眠植牙
All on 4一日植牙重建
導引式植牙
水雷射微創植牙
即拔即植
一日完成|數位全瓷修復
醫療項目
專業植牙項目
舒眠植牙
即拔即植
PRF補骨植牙
數位導引植牙
水雷射微創植牙
All on 4植牙重建
無痛電子麻醉植牙
門牙一日植牙修復
PRF鼻竇增高植牙
植牙術後雷射修復
水雷射治療項目
水雷射介紹
水雷射植牙
水雷射牙齦美容
水雷射牙周治療
數位治療項目
數位3D齒雕
數位全瓷牙冠
DSD微笑曲線設計
冷光雷射美白
牙齒知識
DSD微笑設計
一日假牙
全瓷冠
植牙
牙周病
牙齒美白
案例分享
植牙
美白
全瓷冠
3D齒雕
一日美齒
前牙開咬暴牙
首頁
案例分享
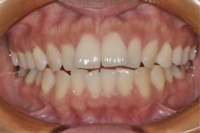
矯正
前牙開咬暴牙
治療前
治療後
聲明:本所療程皆由專業醫生評估後,依照個人口腔狀況進行治療。因每位患者個別狀況不同,術後狀況也不盡相同,需親來本所由醫生評估。
地圖導航
Line預約
24小時諮詢專線
線上諮詢