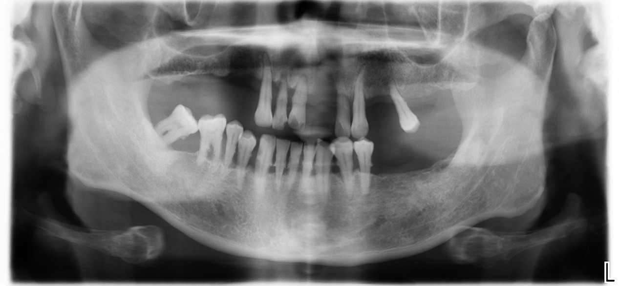
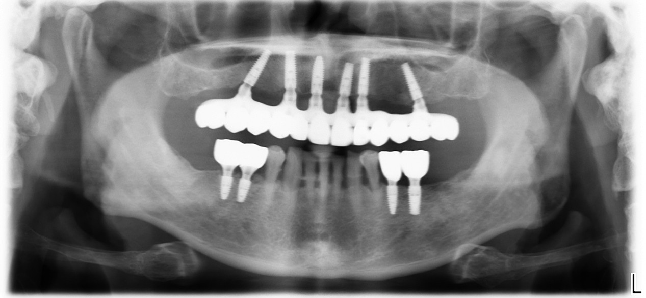
All on 4植牙重建
All on 4 (All on 4全口植牙) 是ㄧ種提供全口無牙的病患一個解決惱人活動假牙的治療方法。All on 4利用4顆特殊設計的植牙,將美觀、舒適的假牙牢牢地固定在上面。你在短短的幾天內,就可擁有你想要的牙齒,無需等待漫長的治療時期。
All on 4 優點
費用較低
因為植牙數量相對少,並且避開需要補骨的部位,費用自然比較省,植牙發展歷史從複雜治療演進至今的All on 4 & 6 種植數量已經大幅減至4到6顆。
不需要進行補骨手術
ALL on 4 & 6只有挑有骨頭條件好的地方植牙,沒有骨頭的地方(上下顎後牙區)刻意將植牙避開沒有骨頭區域,因此不需要補骨。
減少手術次數
降低病患對多次手術的心理壓力。
等待時間短
因不需補骨,沒有漫長的等待期(通常6~9個月)。
當日植牙,當日裝牙,立即受力
當病患條件允許,可在植牙當日或 2~3 日後立即有牙固定在植體上,即可進食。不需等待!
科學証實並有豐富文獻記錄
All on 4術式已有10年以上長期追蹤的臨床研究報告,效果良好,是被牙醫界公認的臨床方案。
