• Dr. 阮柏升醫師
    • 尖端設備
    • 一日完成|數位植牙
      • 4D導航植牙
      • PRF植牙
      • 人工植牙
      • 舒眠植牙
      • All on 4一日植牙重建
      • 導引式植牙
      • 水雷射微創植牙
      • 即拔即植
    • 一日完成|數位全瓷修復
    • 醫療項目

        專業植牙項目

      • 舒眠植牙
      • 即拔即植
      • PRF補骨植牙
      • 數位導引植牙
      • 水雷射微創植牙
      • All on 4植牙重建
      • 無痛電子麻醉植牙
      • 門牙一日植牙修復
      • PRF鼻竇增高植牙
      • 植牙術後雷射修復

        水雷射治療項目

      • 水雷射介紹
      • 水雷射植牙
      • 水雷射牙齦美容
      • 水雷射牙周治療

        數位治療項目

      • 數位3D齒雕
      • 數位全瓷牙冠
      • DSD微笑曲線設計
      • 冷光雷射美白
    • 牙齒知識
      • DSD微笑設計
      • 一日假牙
      • 全瓷冠
      • 植牙
      • 牙周病
      • 牙齒美白
    • 案例分享
      • 植牙
      • 美白
      • 全瓷冠
      • 3D齒雕
      • 一日美齒

    植牙

    • 首頁
    • 案例分享
    • 植牙

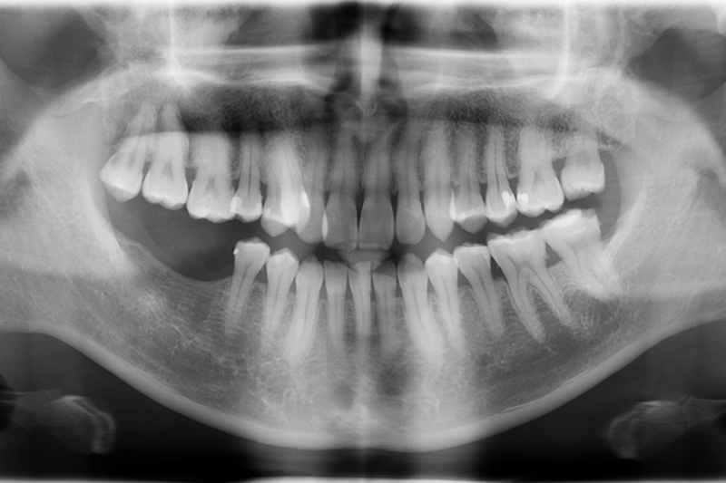
    • 鼻竇增高術植牙

      鼻竇增高術植牙

      鼻竇增高術植牙

      更多
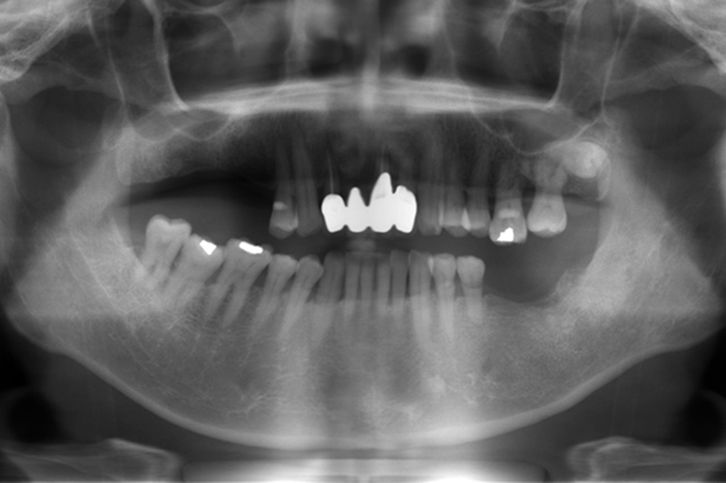
    • 水雷射植牙重建

      水雷射植牙重建

      水雷射植牙重建

      更多
    • 3D水雷射微創植牙

      3D水雷射微創植牙

      3D水雷射微創植牙

      更多
    • «
    • 1
    • »
    林口萊德美學牙醫診所-水雷射植牙/一日全瓷假牙/矯正
    頁尾地圖
    • 新北市林口區文化二路一段283號
    • 02-26083757
    • 週一~週五 : 早 09:30-12:30、中14:30-17:30、晚18:30-21:30
    • 週六 : 早9:30-12:30、中14:30-17:30
    • rightdental283@gmail.com
    • 停車資訊 : 診所旁有收費停車場(步行一分鐘)
    • Design by GTUT
    • 網站地圖
    • 隱私權政策
    • 地圖導航

    • Line預約

    • 24小時諮詢專線

    • 線上諮詢