鼻竇增高術植牙
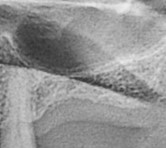
上顎後牙區如果長期缺牙,有可能導致骨頭萎縮,齒槽骨高度不足,鼻竇過低。
傳統鼻竇增高術是採取開側窗的方式,需要額外多一個傷口,傷口較大,恢復期也比較長。
本院使用微創水壓鼻竇增高術,不需要額外多一個傷口,直接在缺牙區做鼻竇增高術,提升鼻竇膜,補骨粉,植入植體,一次完成。傷口小,恢復期快。
聲明:本所療程皆由專業醫生評估後,依照個人口腔狀況進行治療。因每位患者個別狀況不同,術後狀況也不盡相同,需親來本所由醫生評估。
傳統鼻竇增高術是採取開側窗的方式,需要額外多一個傷口,傷口較大,恢復期也比較長。
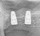
本院使用微創水壓鼻竇增高術,不需要額外多一個傷口,直接在缺牙區做鼻竇增高術,提升鼻竇膜,補骨粉,植入植體,一次完成。傷口小,恢復期快。
治療前
治療後
聲明:本所療程皆由專業醫生評估後,依照個人口腔狀況進行治療。因每位患者個別狀況不同,術後狀況也不盡相同,需親來本所由醫生評估。
