一日數位全瓷假牙
Dr.阮柏升院長|提供您專業龜山/林口一日全瓷牙冠假牙療程
兼顧美觀與舒適度的全瓷假牙修復選擇
當牙齒因蛀牙、裂損或舊假牙影響外觀與功能時,假牙修復往往成為必要的治療選項。然而,假牙不只是「補起來」這麼簡單,材質的選擇,往往直接影響外觀自然度與長期使用的舒適性。
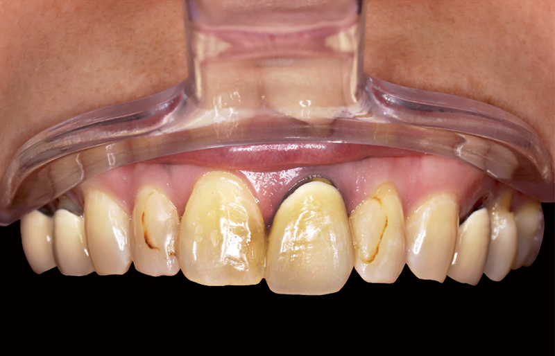
不少患者曾注意到,有些傳統金屬假牙在使用一段時間後,牙齦邊緣容易出現暗沉或黑影,影響整體笑容美感。這其實是金屬材質長期使用後產生氧化反應所造成的現象。若希望避免這類困擾,我們為龜山、林口地區患者提供的一日全瓷牙冠假牙修復方案。
為什麼選擇全瓷牙冠?
全瓷牙冠是以全陶瓷材質製作,不含金屬成分,與人體組織具有良好的相容性。相較於傳統金屬或合金假牙,全瓷材質較不易引起牙齦發炎或過敏反應,也能避免牙齦邊緣因金屬染色而影響美觀。
在經過醫師詳細評估與精準診斷後,阮柏升院長會依個人口腔條件,規劃合適的龜山/林口全瓷牙冠修復方案,使假牙在顏色、透光度與形態上更貼近自然牙齒,讓笑容呈現更協調自然。

我們提供數位微笑設計、美齒貼片、精工全瓷冠等專業美齒諮詢,由擁有豐富經驗的美齒牙醫師-阮柏升院長,利用數位影像技術加上牙齒美學概念,能客製化你的專屬微笑美齒計畫。
更棒的是我們診所建置高科技的一日美齒中心,各項高端數位設備,能快速縮短美齒貼片、全瓷冠假牙等製作時間。

一日假牙製作流程
Step1 : 備牙
將牙齒修磨至適合安裝假牙的大小
Step2 : 掃描
使用3D口內掃描機收集數位化的牙齒資訊
Step3 : 設計
3D數位系統模擬假牙的大小與形態
Step4 : 製作
研磨機製作假牙並進行拋光與上色
Step5 : 裝戴
假牙製作完成進行試戴與調整
適用範圍
全瓷冠



貼片



3D齒雕



假牙製作儀器
3D數位口腔掃描機

3D齒雕研磨機

VITA燒結爐

萊德美學一日美齒優勢
| 萊德美學一日美齒 | |
|---|---|
| 療程時間 | 24小時內完成 |
| 到診次數 | 2次 |
| 假牙品質 | 診所內製作,醫師全程監督 |
| 取模方式 | 數位掃描,3分鐘內取得精準的牙齒3D模型 |
| 傳統診所假牙 | |
|---|---|
| 療程時間 | 2週 |
| 到診次數 | 須3-4次回診來回修改溝通 |
| 假牙品質 | 視牙技師技術而定 |
| 取模方式 | 傳統印模, 患者須忍受5分鐘以上印模材料的異味與不適感 |
一日美齒 適合用在
DSD微笑設計
陶瓷美齒貼片
數位全瓷冠
3D齒雕
一日美齒療程項目
案例分享 : 一日陶瓷貼片


案例分享 : 一日陶瓷嵌體|3D齒雕


