水雷射牙周治療
林口水雷射牙周治療信任選擇-Dr. 阮柏升
非侵入性深層治療,為中重度牙周病提供更多治療選擇
若牙周病能在早期發現,透過洗牙與良好的口腔清潔習慣,往往就能有效控制;但許多患者直到牙周病持續惡化,形成較深的牙周囊袋,甚至經醫師診斷發現齒槽骨已經流失時,才驚覺問題的嚴重性。此時最令人擔憂的是:是否已經到了必須進行翻瓣手術、切開牙齦才能徹底治療的階段?
事實上,在經過專業林口水雷射牙周病治療醫師醫師精準評估,並符合適當治療條件的情況下,水雷射牙周治療能提供一種侵入性更低,卻同樣能深入清除感染源的治療方案。
接下來,我們將從牙周病的形成機制與潛在風險談起,並透過真實臨床案例,深入解析水雷射技術在中重度牙周病治療中的應用。
牙周病是如何形成的?為什麼不能拖延治療?
牙周病多半是從口腔細菌開始的慢性口腔疾病。初期常見的症狀只有刷牙出血、牙齦紅腫,通常不會有明顯疼痛感,也因此容易被忽略。當細菌長期堆積在牙齦邊緣,未及時控制時,會逐漸向牙齦深處侵入,使牙齒與牙齦之間形成所謂的牙周囊袋。
一旦細菌持續在牙周囊袋內滋生,除了牙齦反覆發炎外,牙根與齒槽骨也可能受到破壞,進而導致牙齒鬆動、脫落,甚至最終形成缺牙。
更需要注意的是,嚴重牙周病所產生的細菌,可能經由血液循環影響身體其他部位,增加如感染性心內膜炎、吸入性肺炎等全身性風險。這也是為什麼,從牙周專業角度來看,牙周病不只是口腔問題,而是一種需要及早介入的慢性發炎疾病。
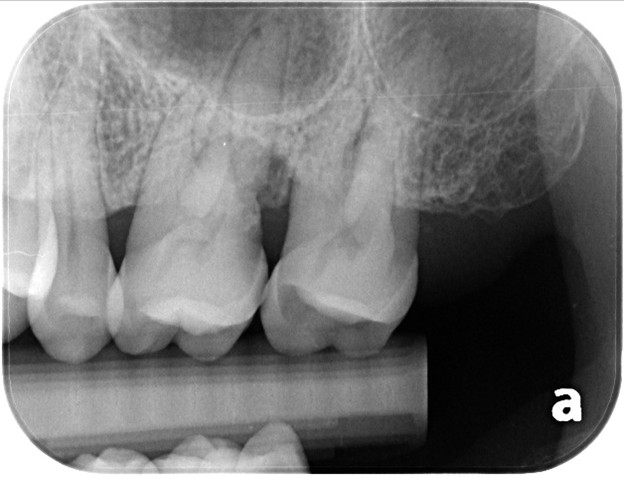
臨床案例|成功拯救左上第一大臼齒的深度牙周骨缺損
治療前狀態
王先生長期感覺左上後牙區牙齦腫脹,伴隨異味,刷牙時偶有出血。
臨床檢查與影像判讀
- 牙周囊袋深度:左上第一大臼齒遠心側探測深度達 8mm,屬於重度牙周病
- 牙齦狀態:探測有出血現象,顯示局部發炎反應仍明顯
- X 光影像判讀:顯示該顆牙齒遠心側出現垂直性齒槽骨缺損,牙根周圍的齒槽骨高度明顯下降
醫師評估
以牙周治療專業的角度來看,這類「局部、但深度明確的骨缺損」,若未妥善控制感染,齒槽骨仍可能持續流失。傳統牙周病治療上,多半會透過牙周翻瓣手術才能徹底清創。
但經完整評估後,我認為此案例仍具備以水雷射進行非手術性深層治療的條件,因此選擇先以水雷射作為主要治療方式。

水雷射牙周治療怎麼做?
- 不用翻瓣,也能處理到深層牙周問題
在局部麻醉後,我會使用水雷射纖細光纖探頭,直接進入大約8mm深的牙周囊袋底部。整個過程不需要切開牙齦、也不用翻牙肉,就能深入發炎的區域進行治療,對多數患者來說,心理負擔與不適感都相對低。 - 深入牙周囊袋,清除感染源並降低細菌量
水雷射在治療時,可以同時完成清理與殺菌的工作,包括:- 清除藏在囊袋深處、黏在牙根上的牙結石,減少持續刺激牙齦的來源
- 移除已經發炎、受感染的組織,讓牙周環境回到較乾淨、穩定的狀態
- 大幅降低造成牙周病的細菌數量,幫助控制反覆發炎的情況 促進牙周組織的修復與穩定,幫助齒槽骨恢復
對於傳統器械比較難處理到的深層牙周囊袋,水雷射能在實際臨床治療上能發揮更好的效果。
- 術後患者回饋與臨床改善
治療後的追蹤中,可以看到幾個明顯的變化:- 牙周囊袋深度:從原本約8mm,明顯改善到3mm以內(接近健康範圍)
- 牙齦狀態:牙齦變得比較緊實,顏色恢復健康的粉紅色,檢查時也不再容易流血
- 口氣問題:多數患者都明顯感覺改善
臨床個案治療紀錄
治療前影像
治療後影像
以上影像為實際個案之治療過程紀錄,僅供治療說明與醫療知識分享用途。實際療效依個人情況而異,請由專業醫師評估後進行診療。
醫師觀點|重度牙周病治療的關鍵挑戰
看不見的地方,如何清得乾淨?
在處理這種「不用開刀」的深層牙周囊袋時,最大的難題就是:在看不到的情況下,怎麼確保裡面真的清乾淨了?
挑戰一:在不切開牙齦的前提下,8mm深的囊袋要如何治療?
- 傳統器械的限制
用傳統的牙周刮刀,醫師只能靠手的觸感去判斷,很難 100% 確定深層的牙結石和細菌膜是不是真的清乾淨了。 - 水雷射如何突破這個困境
- 探頭夠細、伸得夠深-水雷射的光纖探頭很細,可以精準深入到病灶深處
- 選擇性清除-專門清掉感染的組織和牙結石,但盡可能不傷及健康的牙根結構
- 非接觸式殺菌-利用雷射能量深入囊袋內部,不需反覆刮除,即可完成深層清潔與細菌控制,適合傳統器械較難處理的深層區域
挑戰二:治療完後,如何降低牙周病復發的機率?
- 為什麼牙周病容易反覆發作
局部性的牙周病,通常是因為那個位置比較難刷、容易卡髒東西。如果沒有徹底殺菌,很快又會再次發炎。 - 水雷射如何幫助牙周組織穩定
- 深層殺菌更徹底-雷射能量可深入牙周囊袋底部,降低深層細菌量,減少術後再次發炎的風險
- 客製化清潔指導-依照該顆牙齒的位置與囊袋深度,指導更適合的刷牙與清潔方式
- 定期追蹤很重要-透過回診檢查囊袋深度與牙齦狀況,及早發現變化並即時處理
常見問題 FAQ
Q1:什麼情況適合水雷射牙周治療?
當牙周病已形成較深的牙周囊袋,但牙齒仍具保留價值,且經醫師評估不一定需要立即進行翻瓣手術時,水雷射牙周治療可作為非手術性的選擇之一。
Q2:治療會不會很痛?
治療通常在局部麻醉下進行,多數患者在過程中不會感到明顯疼痛,術後不適感也相對較低。
Q3:治療後牙周病還會復發嗎?
牙周病屬於慢性疾病,治療後仍需搭配良好清潔與定期回診追蹤,才能長期維持穩定。
