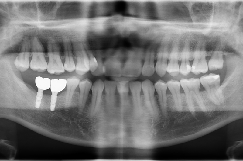
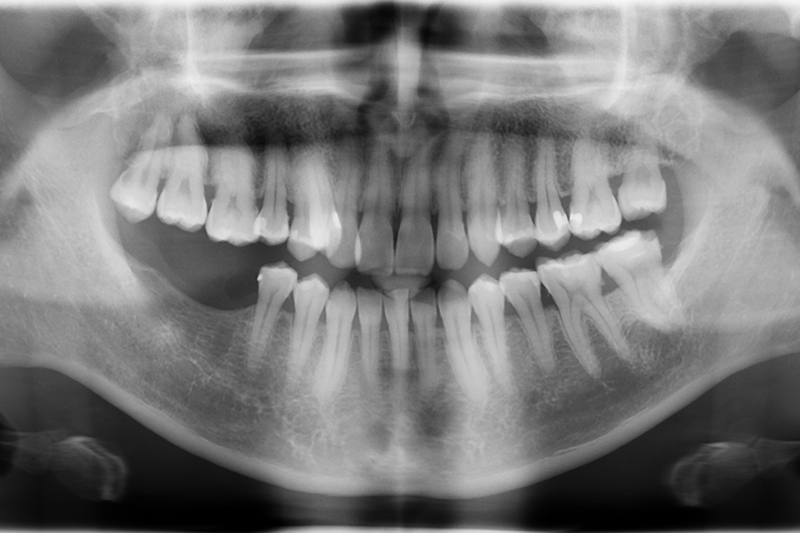
3D水雷射微創植牙 首頁 案例分享 植牙 3D水雷射微創植牙 治療前 治療後 聲明:本所療程皆由專業醫生評估後,依照個人口腔狀況進行治療。因每位患者個別狀況不同,術後狀況也不盡相同,需親來本所由醫生評估。