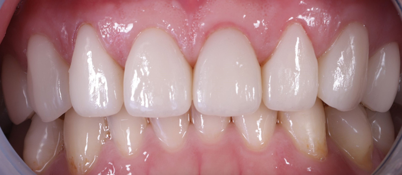
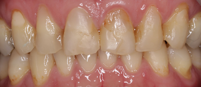
一日美齒+雷射美白 首頁 案例分享 一日美齒 一日美齒+雷射美白 調整牙齒外型 下顎雷射美白 上顎8顆一日美齒貼片 陶瓷貼片改善樹脂填補變色 24時小時完成 聲明:本所療程皆由專業醫生評估後,依照個人口腔狀況進行治療。因每位患者個別狀況不同,術後狀況也不盡相同,需親來本所由醫生評估。