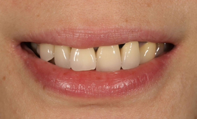
更換20年的上排舊假牙 首頁 案例分享 全瓷冠 更換20年的上排舊假牙 更換20年的上排舊假牙 上顎8顆全瓷冠 微笑曲線設計 自然美白牙色 一日完成 治療前 治療後 聲明:本所療程皆由專業醫生評估後,依照個人口腔狀況進行治療。因每位患者個別狀況不同,術後狀況也不盡相同,需親來本所由醫生評估。