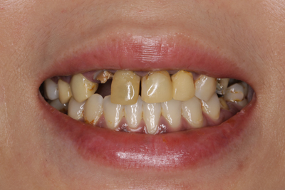
他家診所舊假牙更換 首頁 案例分享 全瓷冠 他家診所舊假牙更換 他家診所舊假牙更換 上排8顆全瓷冠重建 3D臉部和口腔掃描 診所技師染色 自然齒色 治療前 治療後 聲明:本所療程皆由專業醫生評估後,依照個人口腔狀況進行治療。因每位患者個別狀況不同,術後狀況也不盡相同,需親來本所由醫生評估。