數位導引植牙
什麼是精準4D導航植牙?
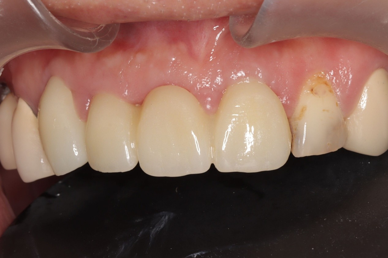
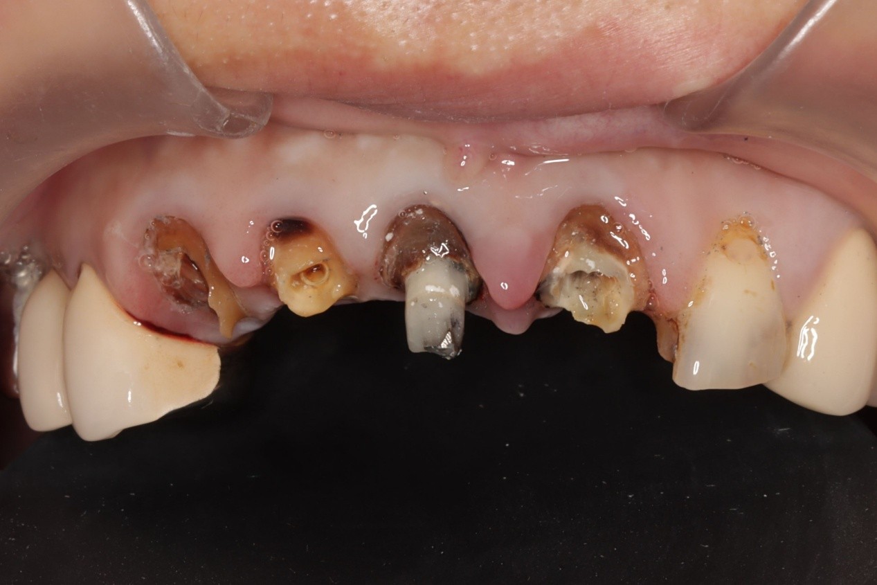
植牙是現今能在外型及功能上高度取代原生牙齒的治療方式之一,但人體神經元、血管絲小得可能只有只有微米大,比頭髮絲一半還細小,肉眼難以辨別那麼小、密密麻麻、且不時移動的影像,因此手術時要不傷到很困難,而口腔環境潮濕,往往術後癒合、療程效果都較不理想。
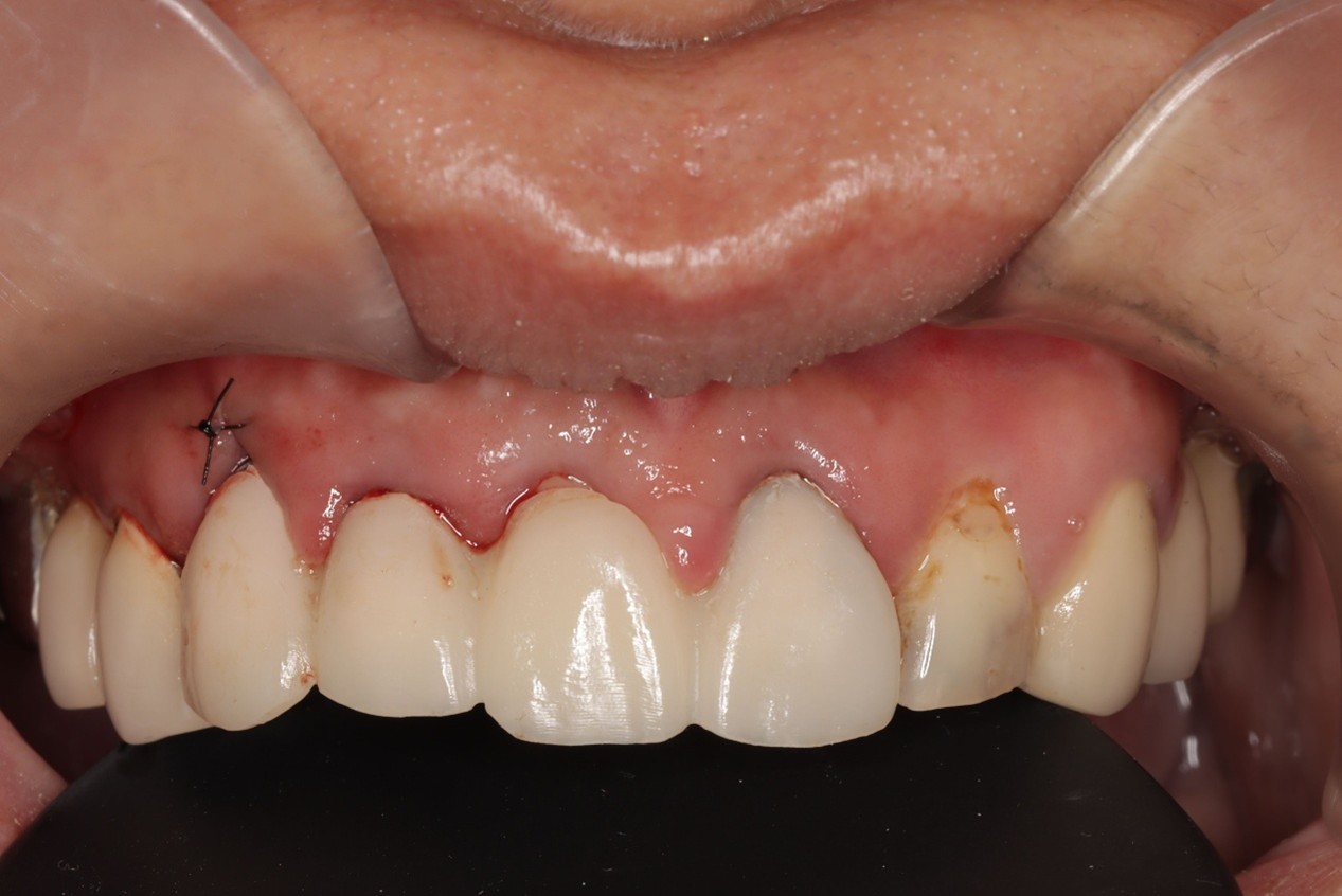
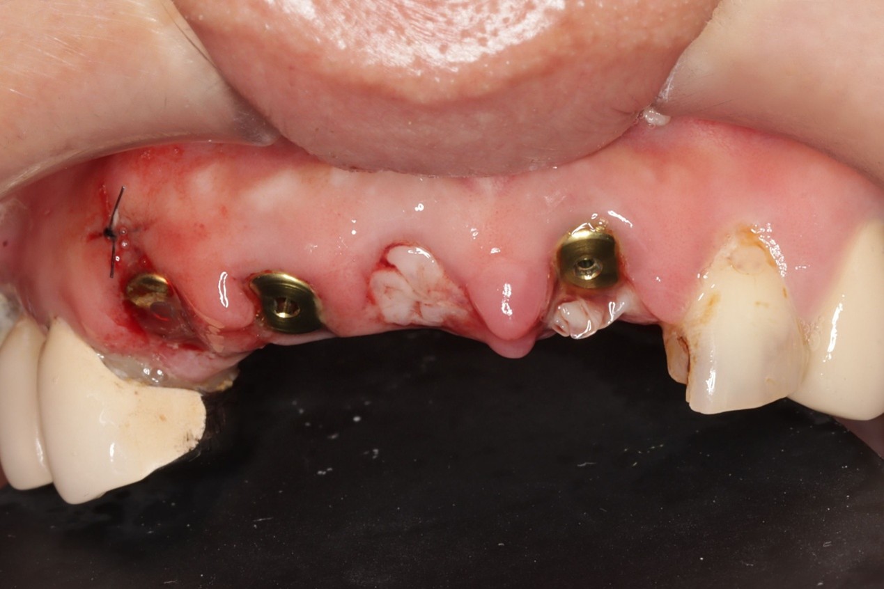
還好近年有了精準微創植牙手術,醫師可以透過更新的科技追蹤肉眼無法看到的位置,達到微創植牙,幫助病患快速癒合,建立幾乎與原生牙齒無二的體驗,從齒找回笑容。
X光 / 斷層掃描
獲取病患口腔狀況
4D動態導航系統
由AI模擬最佳治療方案
4D動態導航系統
手術實時顯影定位

怎麼辦到的?
發現了嗎?微創植牙流程中出現了兩個「4D動態導航系統」,沒錯,微創手術靠的就是他——「Navident安適準4D微創導航系統」
安適準採用AR擴增實境技術
「安適準(Navident)4D微創動態導航儀」搭載著新時代的黑科技,使用了以色列國 防黑科技的「超精準定位技術(Micron Tracker)」。透過安適準,醫師可以快速模擬 病患口腔狀況、運算治療方針,並運用AR擴增實境,在手術中實時顯示病患植牙狀況, AI會判讀最適合的植入位置,並隨時追蹤位置,發出警示,達到真正的微創植牙。
此技術亦被廣泛使用於全球心臟科、骨科、脊椎手術相關儀器
安全
搭載腦科手術使用的「4D微創動態導航技術」
如乘坐配有智慧大腦的高級房車,能自動偵測潛在危機、隨時規劃判斷最佳路徑,並在乘客幾乎完全無感的狀況下,盡可能避開所有障礙,舒適、安全、迅速地抵達目的地。
- 精準定位植入點,大幅減少傷及重要神經及鼻竇機會
- AI實時判讀,AR同步定位,黑科技雙重保護
- 提高12倍的植牙成功率
舒適
採用高幀數「AR即時顯像技術」
同步反應口腔位置,讓醫師能即時避開血管、神經、縮小創口,達到「真・微創植牙」,加速術後癒合,幫助患者迅速找回笑容自信,讓植牙也能成為無上體驗。
- 高達12顆鏡頭,視覺幾乎零死角,避開神經與血管
- AI計算判讀縮小植入點,再也不用為了植牙忍受高度疼痛
- 創口小癒合快,達到「真・微創植牙」
精準
術前「精準植牙規劃」,術間「多點成像」視覺幾乎零死角
安適準導航植牙系統可以於植體製作前(術前)做第一次植牙流程規劃,判讀病患牙齒間狀況,並做出最合適的植牙療程建議。搭載高達12顆鏡頭,於手術間幾乎零死角定位植牙位置,配合AI高速運算,讓植體精準的植入齒骨,創造幾乎與原生牙齒無二的舒適感。
- 高達12顆鏡頭同步定位,視覺零死角
- AR實時成像,植入點寬度、深度毫釐不差
- 定位誤差小於0.2mm RMSE
